Běžecká rubrika - prevence - fyzioterapie / regenerace / strečink, Strana 4
Výpis článků

Femolární kloubní chrupavka je speciální tkáň, která pokrývá konce stehenní kosti (femur) v kolenním kloubu. Hraje zásadní roli při hladkém pohybu kolena a tlumení nárazů.
Klíčové aspekty femorální kloubní chrupavky
- Funkce:
- Umožňuje plynulý a bezbolestný pohyb kolena.
- Rozkládá zátěž a chrání kosti před poškozením.
- Snižuje tření mezi kostmi při pohybu.
- Struktura:
- Je to typ hyalinní chrupavky, která je hladká, pevná a pružná.
- Skládá se z chondrocytů (buněk chrupavky) a mezibuněčné hmoty.
- Neobsahuje cévy ani nervy, což znamená, že se obtížně hojí.
- Význam:
- Zdravá femorální kloubní chrupavka je nezbytná pro správnou funkci kolena.
- Poškození chrupavky může vést k bolesti, otoku, omezení pohybu a artróze.
Poškození femorální kloubní chrupavky
- Příčiny:
- Zranění (např. při sportu).
- Nadměrná zátěž.
- Stárnutí.
- Obezita.
- Genetické faktory.
- Příznaky:
- Bolest kolena.
- Otok.
- Omezení pohybu.
- Křupání nebo lupání v koleni.
- Nestabilita kolena.
- Léčba:
- Konzervativní léčba (fyzioterapie, léky proti bolesti, injekce).
- Chirurgická léčba (artroskopie, transplantace chrupavky, náhrada kolenního kloubu).
Prevence poškození
- Udržování optimální tělesné hmotnosti.
- Pravidelné cvičení s nízkým dopadem na klouby (plavání, jízda na kole).
- Posilování svalů kolem kolena.
- Správná technika při sportu včetně běhu.
- Používání vhodné obuvi.

Příčiny:
- Opakované mechanické dráždění: Nejčastěji způsobené nošením těsné obuvi s tvrdým opatkem, který tlačí na patu.
- Tvar nohy: Lidé s vysokou klenbou nebo s výraznějším sklonem patní kosti jsou náchylnější.
- Sportovní aktivity: Zejména běh, bruslení nebo sporty s častými doskoky.
Příznaky:
- Bolest na zadní straně paty, zejména při chůzi, běhu nebo tlaku na postižené místo.
- Otok a zarudnutí v oblasti paty.
- Kostní výrůstek, který může být viditelný a hmatatelný.
- Otlaky a puchýře způsobené třením obuvi.
Diagnostika:
- Fyzikální vyšetření: Lékař prohmatá patu a zhodnotí příznaky.
- Rentgenové vyšetření: Potvrdí přítomnost kostního výrůstku.
- Ultrazvuk nebo magnetická rezonance: Mohou být použity k posouzení stavu Achillovy šlachy a okolních měkkých tkání.
Léčba:
- Konzervativní léčba:
- Obuv: Nošení pohodlné obuvi s měkkým opatkem.
- Ortopedické vložky: Podpora klenby nohy a snížení tlaku na patu (úprava místa polstrování v místě kontaktu).
- Protahování Achillovy šlachy: Cvičení pro zlepšení flexibility.
- Chlazení: Aplikace ledu na postižené místo.
- Léky proti bolesti a zánětu.
- Fyzioterapie.
- Chirurgická léčba: V případě, že konzervativní léčba není účinná, může být nutný chirurgický zákrok k odstranění kostního výrůstku.
Dlouhé sezení v autě může mít na běh několik negativních dopadů.
Zde jsou některé z nich:
-
Ztuhlé svaly: Dlouhé sezení v jedné poloze může způsobit ztuhnutí svalů, zejména v oblasti kyčlí, hamstringů a lýtek. To může vést ke snížení flexibility a rozsahu pohybu, což může negativně ovlivnit běžeckou techniku a zvýšit riziko zranění.
-
Snížená cirkulace krve: Dlouhé sezení může zpomalit cirkulaci krve v dolních končetinách. To může vést k pocitu těžkých nohou a snížení výkonnosti při běhu.
-
Omezená pohyblivost kloubů: Dlouhé sezení může omezit pohyblivost kloubů, zejména v oblasti kyčlí a kolen. To může vést ke zhoršení běžecké techniky a snížení efektivity pohybu.
-
Zhoršená koordinace: Dlouhé sezení může negativně ovlivnit koordinaci pohybů, což může vést ke zhoršení běžecké techniky a zvýšení rizika zranění.
-
Únava: Dlouhé sezení může způsobit únavu a snížení energie, což může negativně ovlivnit výkonnost při běhu.
Jak minimalizovat negativní dopady dlouhého sezení v autě na běh?
- Pravidelné přestávky: Pokud je cesta dlouhá, dělejte pravidelné přestávky a protahujte se.
- Protahování: Protahujte se před, během a po dlouhé cestě autem. Zaměřte se na protažení svalů v oblasti kyčlí, hamstringů a lýtek.
- Pohyb: Snažte se během cesty autem alespoň trochu hýbat nohama a chodidly.
- Hydratace: Pijte dostatek tekutin, abyste udrželi tělo hydratované.
- Zdravá strava: Jezte zdravou a vyváženou stravu, abyste měli dostatek energie.
Doplňující informace
- Pokud máte sedavé zaměstnání, kompenzujte to pravidelným pohybem a cvičením.
- Pravidelně se protahujte a posilujte svaly, abyste zlepšili flexibilitu a rozsah pohybu.
- Pokud se po dlouhé cestě autem cítíte unavení, odložte běh na jindy a dopřejte si čas na odpočinek a regeneraci.
Pamatujte, že každý člověk je jiný a může reagovat na dlouhé sezení v autě jinak. Je důležité naslouchat svému tělu a v případě potřeby si naordinovat odpočinek.
Umět si správně odpověďět má cenu zlata a vlastní zakomponování těchto bodů do tréninku ještě větší.
Prevence zranění je klíčová pro každého běžce, ať už začátečníka nebo zkušeného maratonce. Zahrnutí těch správných prvků do tréninku může výrazně snížit riziko zdravotních problémů.
Zde je komplexní přehled toho, co byste měli do svého běžeckého tréninku zařadit:
1. Rozcvičení (před každým během):
- Kratší běh v lehkém tempu: Začněte pomalým během, abyste postupně zvýšili tepovou frekvenci a prokrvení svalů.
- Dynamické protažení: Zaměřte se na pohyby, které napodobují běžecký pohyb, ale v menším rozsahu. Patří sem například kroužení kyčlí, švihy nohou, zakopávání, předkopávání, kroužení kotníky, atd. Dynamické protažení vás připraví na další, tu hlavní náplň tréninku a je odvislé právě od intezity nastávající zátěže. Vyhněte se přílišnému statickému protažení před během (držení polohy po delší dobu), to by mohlo svaly naopak oslabit.
2. Běžecký trénink:
- Postupné zvyšování zátěže (obecné pravidlo 10 %): Nezvyšujte týdenní objem naběhaných kilometrů o více než 10 %. To dává tělu čas se adaptovat na zátěž a snižuje riziko přetížení. Zde je potřeba si uvědomit, že to zvyšování nejde do nekonečna!!
- Střídání tréninků: Nezařazujte jen běhy v jednom tempu. Střídejte různé typy tréninků:
- Volné běhy: Běhy v konverzačním tempu, kdy jste schopni plynule mluvit.
- Dlouhé běhy: Běhy delší vzdálenosti v pomalém tempu, které budují vytrvalost.
- Tempové běhy: Běhy v tempu, které je pro vás "komfortně těžké", a které rozvíjí laktátový práh.
- Intervalové tréninky: Střídání úseků vysoké intenzity s úseky odpočinku (např. rychlé úseky s meziklusem).
- Fartlek: tzv. hra s rychlostí, kdy střídáte úseky různé délky a intenzity v rámci souvislého běhu.
- Běh v různém terénu: Běh po rovině, do kopce, z kopce, po měkkém i tvrdém povrchu posiluje různé svalové skupiny a zlepšuje koordinaci. Neběhejte tam, kde je příliš zvýšené nebezpečí zranění, tzn. kde je nebezpečné chodit je i nebezpečné běhat.
- Kadence (frekvence kroků): Snažte se udržovat optimální kadenci. Jakékoliv přílišné zvyšovaní nebo snižování kadence v rámci souvislého běhu je na škodu (pokud se nejedná o speciální trénink pro úpravu kadence).
3. Posilování (1-3krát týdně):
- Posilování svalů dolních končetin: Zaměřte se na posilování kvadricepsů, hamstringů, lýtkových svalů a hýžďových svalů. Cviky: dřepy, výpady, výstupy na bednu, atd. .
- Posilování středu těla (core): Silný core je klíčový pro stabilitu a správnou techniku běhu. Cviky: plank, boční plank, zvedání nohou vleže, ruské twisty, atd..
- Cviky s vlastní vahou i s činkami/odporem: Kombinujte cviky s vlastní vahou s cviky s činkami nebo odporovými gumami pro komplexní posílení.
4. Protažení (po každém běhu a i v netréninkové dny):
- Statické protažení: Protahujte svaly, které byly při běhu nejvíce zatěžovány (kvadricepsy, hamstringy, lýtka, hýžďové svaly). Držte každou pozici 20-30 sekund.
- Zaměření na flexibilitu kyčlí a kotníků: Dobrá flexibilita v těchto oblastech je důležitá pro správnou techniku běhu a prevenci zranění.
5. Regenerace:
- Dostatečný spánek: Spánek je klíčový pro regeneraci svalů a celého organismu.
- Aktivní odpočinek: Lehké aktivity, jako je chůze, plavání nebo jízda na kole, podporují prokrvení svalů a urychlují regeneraci.
- Masáže a fyzioterapie: Pravidelné masáže a fyzioterapie mohou pomoci uvolnit svalové napětí a předcházet zraněním.
- Správná výživa: Strava bohatá na bílkoviny, sacharidy a zdravé tuky je nezbytná pro regeneraci a doplnění energie.
6. Vybavení:
- Vhodná běžecká obuv: Vyberte si běžecké boty, které odpovídají vaším aktuálním potřebám, tzn. vaší postavě, běžeckému stylu a terénu, ve kterém běháte, vlastnímu tréninku - objem a intenzita běhanžch kilometrů, atd.. Pokud vaše vědomosti jsou na to malé, tak se nebojte obrátit na někoho znalého věci.
- Funkční oblečení: Používejte funkční oblečení, které splňuje parametry pro vaše potřeby a váš běžecký trénink.
7. Technika běhu:
- Nácvik správné techniky běhu: Zaměřte se na správný postoj těla, došlap, délku kroku a kadenci. V případě potřeby se poraďte s odborníkem. Pozn. váš běžecký projev je v podstatě důsledkem a ne příčinou.
8. Naslouchání svému tělu:
- Respektujte bolest: Pokud cítíte bolest, trénink přerušte a neignorujte ji. Včasná reakce může zabránit vážnějšímu zranění.
- Dopřejte si odpočinek: Nezapomínejte na dny odpočinku, kdy tělo regeneruje, a připravuje se tak na další trénink.
Shrnutí:
Zařazením těchto prvků do tréninku minimalizujete riziko zranění a budete si moci běh užívat dlouhodobě. Důležité je být trpělivý, poslouchat své tělo a trénovat s rozumem. Zkratky v běžeckém tréninku nefungují.
Prevence je vždy lepší než léčba.
Pozn. pokud budete mít jakýkoliv dotaz nebo připomínku, tak mě neváhejte kontaktovat na: pavel@babos-sports.cz
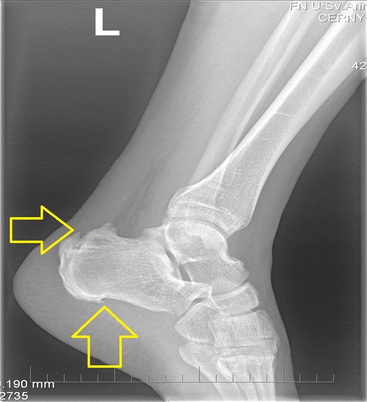
Hlavní příčinou zranění plantární fascie u běžců, známého jako plantární fasciitida (někdy mylně označovaná jako patní ostruha, ačkoliv ostruha je spíše následek dlouhodobé fasciitidy), je přetěžování.
Plantární fascie je silný vazivový pruh, který se táhne od patní kosti k prstům a tvoří podélnou klenbu nohy. Při běhu je tato tkáň vystavena značnému zatížení a opakovaným nárazům. Pokud je toto zatížení příliš velké nebo časté, může dojít k jejímu podráždění, zánětu a následné bolesti.
Konkrétní faktory přispívající k přetížení plantární fascie u běžců:
- Příliš rychlé zvýšení tréninkové zátěže (objem, intenzita, frekvence): Nejčastější chyba, zvláště u začínajících běžců nebo po delší pauze. Plantární fascie potřebuje čas, aby se adaptovala na novou zátěž.
- Nedostatečná regenerace: Nedostatek odpočinku mezi tréninky, špatná výživa neumožňují tkáním dostatečnou regeneraci.
- Nevhodná obuv: Běžecké boty s nedostatečnou podporou klenby, tlumením nebo špatnou velikostí mohou plantární fascii přetěžovat. To platí i pro nošení nevhodné obuvi v běžném životě.
- Špatná biomechanika chodidla: Ploché nohy (plochonoží), vysoká klenba (pes cavus) nebo nadměrná pronace (vychýlení chodidla dovnitř) mohou nerovnoměrně rozkládat zatížení na chodidlo a přetěžovat plantární fascii.
- Zkrácené lýtkové svaly a Achillova šlacha: Zkrácené svaly omezují rozsah pohybu v kotníku a mohou ovlivnit biomechaniku chodidla, což vede k přetěžování plantární fascie.
- Nadváha a obezita: Zvyšují zatížení chodidel a tím i plantární fascie.
- Běh po tvrdém povrchu: Běh po asfaltu nebo betonu klade na chodidla a plantární fascii větší nároky než běh po měkkém povrchu (např. lesní cesta, tráva) / opravdu záleží na parametrech používané běžecké obuvi
- Chybná technika běhu: Nesprávný došlap, délka kroku a kadence mohou přispívat k přetěžování plantární fascie.
Jak se projevuje plantární fasciitida:
- Bolest v oblasti paty: Typicky ostrá, bodavá bolest na spodní straně paty, často nejintenzivnější ráno po probuzení nebo po delším odpočinku. Bolest se může zmírnit po několika krocích, ale může se vracet po zátěži.
- Ztuhlost v oblasti paty: Pocit ztuhlosti a napětí v oblasti paty.
- Bolest vystřelující do klenby chodidla: Bolest se může šířit podél klenby chodidla.
Prevence plantární fasciitidy u běžců:
- Postupné navyšování tréninkové zátěže: Zvyšujte objem a intenzitu tréninku postupně, aby se tělo mohlo adaptovat.
- Dostatečná regenerace: Dopřejte si dostatek odpočinku mezi běhy.
- Vhodná běžecká obuv: Vyberte si boty s adekvátní podporou klenby a tlumením, které odpovídají vašemu typu chodidla, běžeckému stylu, povrchu po kterém běháte a samozřejmě i vaší hmotnosti. V případě potřeby konzultujte výběr s odborníkem.
- Strečink lýtkových svalů a plantární fascie: Pravidelné protahování těchto struktur pomáhá udržovat jejich pružnost a snižuje riziko přetížení.

- Posilování svalů chodidla a dolních končetin: Posilování svalů chodidla, lýtek a dolních končetin pomáhá stabilizovat chodidlo a kotník a snižuje zatížení plantární fascie.
- Vložky do bot (ortopedické vložky): V případě plochých nohou nebo jiných biomechanických odchylek mohou ortopedické vložky pomoci korigovat postavení chodidla a rozložit zatížení.
- Udržování zdravé hmotnosti: Snížení zátěže chodidel.
Pokud se u vás objeví příznaky plantární fasciitidy, je důležité:
- Omezit zátěž: Vyhněte se aktivitám, které bolest zhoršují.
- Chlazení: Aplikujte na bolestivé místo led po dobu 15-20 minut několikrát denně.
- Protahování: Jemně protahujte plantární fascii a lýtkové svaly (rozhodně ne po ledování).
- Konzultace s lékařem nebo fyzioterapeutem: Odborník vám může doporučit vhodnou léčbu, například fyzioterapii, masáže, tejpování.....
Je důležité si uvědomit, že včasná diagnostika a léčba jsou klíčové pro úspěšné zotavení z plantární fasciitidy. Ignorování bolesti může vést k chronickým problémům a dlouhodobému omezení běžecké aktivity.
Běžecké boty s karbonovým plátkem způsobily revoluci v běžeckém sportu, zejména v silničních bězích.
I když prokazatelně zlepšují ekonomiku běhu a výkonnost, jejich vliv na zranění je komplexnější a stále se zkoumá (dostupné informace platné k 18.1.2025).
Jak karbonový plátek funguje:
Karbonový plátek, vložený v mezipodešvi boty, funguje jako pružina. Při dopadu nohy se ohne a následně se odrazí, čímž vrací běžci část energie.
To vede k:
- Zvýšení efektivity běhu: Běžec spotřebuje méně energie na stejnou vzdálenost nebo je schopen běžet rychleji se stejnou vynaloženou energií.
- Prodloužení kroku: Karbonový plátek může mírně prodloužit krok běžce.
- Snížení energetické náročnosti odrazu: Plátek částečně přebírá práci lýtkových svalů.
Vliv na zranění:
Vliv karbonových bot na zranění není jednoznačný a probíhá o něm diskuze.
Zde jsou některé aspekty, které je třeba zvážit:
Potenciální pozitiva (snížení rizika některých zranění):
- Snížení zátěže lýtkových svalů: Díky efektivnějšímu odrazu může dojít ke snížení zátěže lýtkových svalů a Achillovy šlachy, což by teoreticky mohlo snížit riziko jejich zranění.
- Zlepšení ekonomiky běhu a snížení únavy: Snížená únava může vést k lepší technice běhu a tím i ke snížení rizika zranění spojených s únavou.
Potenciální negativa (zvýšení rizika některých zranění):
- Změna biomechaniky běhu: Karbonový plátek nutí běžce k určitému stylu běhu, který nemusí být pro každého vhodný. To může vést k přetěžování jiných svalových skupin a kloubů, například kyčlí, kolen nebo chodidel.
- Vyšší tuhost boty: Vyšší tuhost boty může omezovat přirozený pohyb chodidla a kotníku, což může vést k problémům s plantární fascií, kotníky nebo k nestabilitě.
- Nezvyklé zatížení: Svaly a šlachy si musí zvyknout na nový typ zatížení, které karbonový plátek přináší. Pokud dojde k příliš rychlému navyšování zátěže v těchto botách, může dojít k přetížení a zranění.
- Snížená propriocepce: Někteří běžci uvádějí sníženou citlivost a vnímání terénu v karbonových botách, což může vést k nestabilitě a zvýšenému riziku podvrtnutí kotníku.
Doporučení pro používání karbonových bot:
- Postupné navykání: Nezačínejte s karbonovými botami hned na dlouhé běhy nebo intenzivní tréninky. Začněte s kratšími úseky a postupně navyšujte vzdálenost a intenzitu.
- Střídání s klasickými botami: Nestřídejte pouze závodní a tréninkové boty, ale střídejte i různé modely tréninkových bot. To umožní svalům a šlachám adaptovat se na různé typy zatížení. To samozřejmě platí i v případě, kdy nepoužíváte běžecké boty s carbonem.
- Posilování a stabilizační cvičení: Důležité je posilovat svaly dolních končetin a středu těla a provádět stabilizační cvičení, aby se tělo lépe vyrovnalo se změnami v biomechanice běhu.
- Vhodná technika běhu: Dbejte na optimální - správnou techniku běhu, která minimalizuje zatížení kloubů.
- Individuální posouzení: Každý běžec je jiný a co vyhovuje jednomu, nemusí vyhovovat druhému. Poslouchejte své tělo a v případě potíží se poraďte s odborníkem.
Závěr:
Karbonové boty mohou být pro některé běžce velkým přínosem, ale je důležité je používat s rozvahou a dbát na prevenci zranění. Postupné navykání, střídání s klasickými botami, posilování a správná technika běhu jsou klíčové pro minimalizaci rizik. Vliv karbonových bot na zranění je stále předmětem výzkumu a je nutné brát v potaz individuální predispozice každého běžce.
PS. pokud budete chtít další, bližší informace, tak mě neváhejte kontaktovat na pavel@babos-sports.cz

Doba regenerace kloubní chrupavky a svalové hmoty po fyzické zátěži se liší a závisí na mnoha faktorech, jako je intenzita a typ zátěže, věk, trénovanost, výživa a celkový zdravotní stav. Nelze tedy říci jednoznačné číslo, ale mohu poskytnout obecné informace a faktory, které dobu regenerace ovlivňují.
Regenerace kloubní chrupavky:
Kloubní chrupavka je tkáň, která pokrývá konce kostí v kloubech a umožňuje hladký pohyb. Nemá vlastní cévní zásobení, a proto se vyživuje difuzí ze synoviální tekutiny. To znamená, že regenerace chrupavky je velmi pomalá.
- Mírná zátěž: Po mírné zátěži, která nepoškodí chrupavku, dochází k obnově synoviální tekutiny a živin v chrupavce relativně rychle, v řádu desítek hodin (12-48 hodin).
- Intenzivní zátěž a poškození: Po intenzivní zátěži, která může vést k mikrotraumatům chrupavky, trvá regenerace mnohem déle, i několik týdnů až měsíců. V případě vážnějšího poškození (např. úraz, artróza) může být regenerace velmi omezená nebo dokonce nemožná.
- Vliv věku: S věkem se regenerační schopnost chrupavky snižuje.
Pro podporu regenerace chrupavky je důležité:
- Přiměřená zátěž: Vyhýbat se přetěžování kloubů a dbát na správnou techniku cvičení.
- Dostatečná výživa: Zajištění dostatečného příjmu látek, které jsou pro chrupavku důležité, jako je kolagen, glukosamin, chondroitin sulfát a vitamin C.
- Pravidelný pohyb: Mírný pohyb podporuje prokrvení kloubů a výživu chrupavky.
- Udržování optimální hmotnosti: Snížení zátěže kloubů.
Regenerace svalové hmoty:
Regenerace svalové hmoty po fyzické zátěži probíhá rychleji než regenerace chrupavky, ale i zde záleží na intenzitě a typu zátěže.
- Mírná zátěž: Po mírné zátěži, kdy nedojde k výraznému poškození svalových vláken, trvá regenerace 24-48 hodin.
- Intenzivní zátěž a poškození svalových vláken: Po intenzivní zátěži, která způsobí mikrotraumata svalových vláken (tzv. svalová horečka - DOMS), trvá regenerace 48-72 hodin, v některých případech i déle.
- Vliv trénovanosti: Trénovaní jedinci regenerují rychleji než netrénovaní.
- Vliv výživy: Dostatečný příjem bílkovin je klíčový pro regeneraci svalové hmoty.
Pro urychlení regenerace svalů je důležité:
- Aktivní odpočinek: Lehké aerobní aktivity (např. chůze, plavání) podporují prokrvení svalů a urychlují regeneraci.
- Dostatečný spánek: Během spánku dochází k uvolňování růstového hormonu, který má vliv na regeneraci svalů.
- Správná výživa: Dostatečný příjem bílkovin, sacharidů a dalších živin.
- Masáže a fyzioterapie: Mohou urychlit regeneraci a uvolnit svalové napětí.
- Kompresní prádlo: Může zlepšit prokrvení svalů a urychlit regeneraci.
Shrnutí:
- Kloubní chrupavka: Regenerace je velmi pomalá, v řádu desítek hodin po mírné zátěži až po několik týdnů/měsíců po intenzivní zátěži nebo poškození.
- Svalová hmota: Regenerace trvá 24-72 hodin v závislosti na intenzitě zátěže.
Důležité je dbát na prevenci, přiměřenou zátěž, dostatečnou regeneraci a správnou výživu, abyste předešli poškození kloubů a svalů a podpořili jejich optimální funkci.
Pořadí příčin vzniku zdravotních problémů u běžců není zcela jednoznačné a liší se v závislosti na různých studiích a faktorech, jako je úroveň trénovanosti, věk, pohlaví, typ běhu (silniční vs. terénní) a další.
Nicméně, existují určité trendy a nejčastější příčiny, které se opakují.
Obecně lze říci, že nejčastější příčinou zdravotních problémů u běžců je PŘETÍŽENÍ. To znamená, že tkáně (svaly, šlachy, vazy, kosti) jsou vystaveny větší zátěži, než na kterou jsou připraveny, a nestihnou se adekvátně zregenerovat.
Faktory přispívající k přetížení a vzniku problémů:
- Příliš rychlé zvýšení tréninkové zátěže (objemu, intenzity nebo obojího): Nejčastější chyba, zvláště u začátečníků. Tělo potřebuje čas, aby se adaptovalo na novou zátěž.
- Nedostatečná regenerace: Nedostatek odpočinku, spánku, špatná výživa a nedostatečné kompenzační cvičení.
- Špatná technika běhu: Nesprávný došlap, držení těla, kadence (frekvence kroků) atd.
- Nevhodná obuv: Špatně zvolené běžecké boty pro určitého běžce a jeho konkrétní potřeby.
- Svalová disbalance: Nerovnováha v síle a délce svalů, která vede k přetěžování některých struktur.
- Terénní běh s nerovnostmi: Zvyšuje riziko podvrtnutí kotníku a dalších zranění.
- Nadváha: Zvyšuje zatížení kloubů.
- Anatomické predispozice: Některé anatomické odchylky mohou predisponovat ke zraněním.
Nejčastější typy zranění u běžců (ne nutně v přesném pořadí frekvence, protože se to liší dle studií):
- Syndrom patelofemorální bolesti (běžecké koleno): Bolest pod čéškou, způsobená nerovnoměrným zatěžováním kolenního kloubu.
- Syndrom iliotibiálního traktu (ITBS): Bolest na vnější straně kolene, způsobená třením iliotibiálního traktu o kost stehenní.
- Bolesti holení (shin splints, MTSS - mediální tibiální stresový syndrom): Bolest v oblasti holenní kosti, způsobená přetížením svalů a okostice (fascie).
- Zánět Achillovy šlachy (tendinitida Achillovy šlachy): Bolest a zánět Achillovy šlachy, spojující lýtkové svaly s patní kostí.
- Plantární fasciitida: Bolest paty, způsobená zánětem plantární fascie (vazivové tkáně na spodní straně chodidla).
- Únavové zlomeniny: Drobné praskliny v kostech, způsobené opakovaným přetěžováním, nejčastěji v oblasti bérců a chodidel.
- Bolesti kyčlí: Mohou mít různé příčiny, například přetížení svalů, burzitidu (zánět tíhového váčku) nebo labrální trhlinu (poškození kloubního pouzdra).
Důležité je si uvědomit:
- Prevence je klíčová: Postupné zvyšování zátěže, dostatečná regenerace, správná technika běhu, vhodná obuv a posilování svalů mohou výrazně snížit riziko zranění.
- Poslouchejte své tělo: Vnímejte signály bolesti a nepodceňujte je. Včasná reakce může zabránit vzniku chronických problémů.
- Vyhledejte odbornou pomoc: V případě přetrvávajících bolestí se obraťte na odborníka.
Shrnutí:
Přetížení je hlavní příčinou zdravotních problémů u běžců. Mezi nejčastější zranění patří problémy s koleny, holeněmi, Achillovou šlachou, patou a únavové zlomeniny. Prevence a včasná reakce na bolest jsou klíčové pro udržení zdravého běhání.
Svalová disbalance, tedy nerovnováha v síle a délce svalů, může mít na běh zásadní negativní vliv. Lidské tělo funguje jako komplexní systém a pokud jedna svalová skupina nepracuje správně, ovlivní to i funkci ostatních.
V kontextu běhu to znamená zhoršenou techniku, sníženou efektivitu a zvýšené riziko zranění.
Jak svalová disbalance ovlivňuje běh:
- Změna biomechaniky běhu: Svalová nerovnováha narušuje optimální pohybový vzorec při běhu. To může vést ke změnám v délce kroku, kadenci (frekvenci kroků), dopadu nohy a celkovém držení těla.
- Přetěžování kloubů: Nesprávné zapojení svalů způsobuje nerovnoměrné zatížení kloubů, zejména kolen, kyčlí a kotníků. Dlouhodobé přetěžování může vést k bolestem, zánětům a poškození kloubních chrupavek.
- Zvýšené riziko zranění: Svalová disbalance oslabuje stabilitu kloubů a zvyšuje náchylnost ke zraněním, jako jsou natažené svaly, podvrtnutí kotníku, bolesti kolen, bolesti zad, zánět Achillovy šlachy nebo plantární fasciitida.
- Snížená efektivita běhu: Nesprávné zapojení svalů a zhoršená biomechanika vedou ke ztrátám energie a snižují ekonomiku běhu. Běžec se svalovou disbalancí se rychleji unaví a jeho výkonnost je nižší.
- Bolest: Svalová disbalance může přímo způsobovat bolest, a to nejen v místě oslabeného nebo přetíženého svalu, ale i v okolních oblastech. Bolest může být ostrá, tupá, pálivá nebo tahavá.
Příklady svalových disbalancí a jejich vliv na běh:
- Oslabení hýžďových svalů (zejména gluteus medius): Vede k nestabilitě pánve, „kývání“ pánve ze strany na stranu při běhu, přetěžování kolen a bolestem zad.
- Oslabení svalů středu těla (core): Zhoršuje stabilizaci trupu, ovlivňuje držení těla a zhoršuje přenos sil mezi horními a dolními končetinami.
- Zkrácené hamstringy (zadní strana stehen): Omezují rozsah pohybu v kyčli a mohou vést k bolestem v dolní části zad a kolen.
- Oslabení přední strany holení (tibialis anterior): Zvyšuje riziko podvrtnutí kotníku a může způsobovat bolesti holení (shin splints).
- Zkrácené lýtkové svaly: Omezují rozsah pohybu v kotníku a mohou vést k zánětu Achillovy šlachy a plantární fasciitidě.
- Oslabení mezilopatkových svalů a zkrácené prsní svaly: Vytváří kulatá záda a předsunutá ramena, což omezuje dýchání a zhoršuje ekonomiku běhu.
Jak řešit svalovou disbalanci:
- Diagnostika: Nejprve je nutné identifikovat, které svaly jsou oslabené a které zkrácené. S tím vám může pomoci jedině odborník.
- Posilování oslabených svalů: Zaměřte se na posilování svalů, které jsou slabé. Cvičte s vlastní vahou, s činkami, s odporovými gumami nebo na posilovacích strojích. (Zde jednoznačně platí, že řetěz je tak silný, jak silný je jeho nejslabší článek.)
- Protahování zkrácených svalů: Pravidelně protahujte svaly, které jsou zkrácené. Protahování by mělo být statické (výdrž v protažení po dobu 20-30 sekund) a provádět by se mělo po tréninku nebo v netréninkové dny.
- Kompenzační cvičení: Zařaďte do tréninku kompenzační cvičení, která pomáhají vyrovnávat svalové disbalance.
- Správná technika běhu: Zaměřte se na správnou techniku běhu, která minimalizuje zatížení kloubů a maximalizuje efektivitu pohybu. S nácvikem správné techniky vám může pomoci jedině odborník.
- Fyzioterapie: V případě větších problémů vyhledejte odborníka - fyzioterapeuta, který vám sestaví individuální plán cvičení a pomůže vám s nápravou svalové disbalance.
Prevence svalové disbalance:
- Pravidelný a vyvážený trénink: Zařazujte do tréninku cviky na posilování všech svalových skupin.
- Strečink: Pravidelně protahujte svaly, zejména po tréninku.
- Správná technika běhu: Dbejte na správnou techniku běhu od počátku vlastního běhání. Zafixované chyby se těžko odbourávají.
- Kompenzační cvičení: Zařazujte do tréninku kompenzační cvičení i preventivně.
- Poslouchání svého těla: Vnímejte signály svého těla a reagujte na případné bolesti nebo nepohodlí.
Svalová disbalance může mít na běh významný vliv. Důležité je proto dbát na vyvážený trénink, pravidelný strečink a správnou techniku běhu. Je víc jak dobré od začátku vlastního běhání spolupracovat s opravdovým odborníkem.
Zima a chlad mohou mít na Achillovu šlachu několik negativních vlivů, a to jak u sportovců, tak u běžné populace. Achillova šlacha je nejsilnější šlacha v lidském těle, spojuje lýtkové svaly s patní kostí a je klíčová pro chůzi, běh a další pohyby dolní končetiny. Nejen proto je důležité o ni v zimním období pečovat.
Negativní vlivy chladu na Achillovu šlachu:
- Snížené prokrvení: Chlad způsobuje stažení cév (vazokonstrikci), což omezuje prokrvení tkání, včetně Achillovy šlachy. Snížené prokrvení znamená horší přísun živin a kyslíku a zároveň pomalejší odplavování odpadních látek. To může vést k oslabení šlachy a zvýšení náchylnosti k zranění.
- Snížená elasticita a ztuhlost: Chladné počasí snižuje elasticitu svalů a šlach, čímž se stávají náchylnějšími k natažení, natržení nebo zánětu. Achillova šlacha se v chladu stává tužší a méně pružnou, což zvyšuje riziko jejího poškození při náhlých pohybech nebo zátěži.
- Pomalé zahřátí: V chladném počasí trvá déle, než se svaly a šlachy dostatečně zahřejí. Pokud začnete s intenzivní aktivitou bez důkladného zahřátí, riziko zranění Achillovy šlachy se výrazně zvyšuje.
- Přetěžování v důsledku kompenzace: V chladu se lidé často pohybují méně přirozeně a mohou nevědomky měnit svůj styl chůze nebo běhu, aby se vyhnuli uklouznutí. To může vést k přetěžování Achillovy šlachy a okolních svalů.
- Zvýšené riziko zánětu: Dlouhodobé působení chladu na Achillovu šlachu může vést až k zánětu šlachy (tendinitida) nebo zánětu šlachové pochvy (peritendinitida).
Jak chránit Achillovu šlachu v zimě:
- Důkladné zahřátí: Před každou fyzickou aktivitou v chladném počasí je nezbytné důkladné zahřátí svalů a šlach. Nebojte se použít i hřejivou mast či gel.
- Vhodné oblečení: Noste teplé a prodyšné oblečení, které udrží vaše nohy v teple. Důležité jsou teplé ponožky, které kryjí i Achillovu šlachu, a kvalitní běžecké boty. Vyhněte se nošení kotníkových ponožek v zimě, protože odhalená Achillova šlacha je náchylnější k prochladnutí.
- Postupné zvyšování zátěže: V chladném počasí začínejte trénink pomaleji a postupně zvyšujte intenzitu. Nedopusťte k náhlému přetížení šlachy.
- Po tréninku protažení a zklidnění: Po tréninku nezapomeňte na protažení lýtkových svalů a Achillovy šlachy. I v tomto případě můžete použít i hřejivé masti nebo gely.
- Masáže: Pravidelné masáže lýtek a Achillovy šlachy mohou zlepšit prokrvení a uvolnit svalové napětí.
- Dostatečná regenerace: Dopřejte si dostatek odpočinku a regenerace mezi tréninky.
Příznaky problémů s Achillovou šlachou:
- Bolest v oblasti Achillovy šlachy, zejména při pohybu.
- Ztuhlost šlachy, zejména ráno po probuzení.
- Otok nebo zarudnutí v oblasti šlachy.
- Citlivost na dotek.
- Pocit „křupání“ nebo praskání při pohybu kotníku.
Pokud pociťujete bolest nebo jiné problémy s Achillovou šlachou, vyhledejte odbornou pomoc. Včasná diagnostika a léčba mohou zabránit vzniku chronických problémů.











